mriCroN v4.0官方版

mriCroN v4.0官方版

官方

系统:Android

日期:2026-01-22

类别:电脑软件

版本:v4.0官方版

  • 详情
  • 相关
  • 评论
    我看了下这个mriCroN软件的介绍,感觉它确实是个挺专业的医学影像分析工具,特别适合医生或者搞医学研究的人用。它最吸引我的地方就是界面设计得很友好,不像有些专业软件搞得很复杂,这个就算你没太多经验也能很快上手,主工具栏上该有的功能像切换十字线、笔工具这些都一目了然。它支持的格式也挺全的,HDR、NII、VOI这些都能打开,还能在三个不同面板里同时看X、Y、Z轴的图像,不管是轴向、冠状还是矢状视图都能随意切换,这对分析复杂的医学扫描数据来说太方便了。我特别喜欢它那个MultiSlice功能,能把影像的不同部分做成单张照片排成队列,这样对比起来就省事多了,不用来回翻文件,能帮医生在最短时间内找到病症所在。不过我也注意到它有一些使用注意事项,比如最好在单盘环境下操作,如果是SSD的话建议先在主板里禁用,转换完成后还得留意磁盘管理里是不是多了个500MB的分区,这些细节虽然有点麻烦,但为了保证数据安全和软件稳定运行,还是得留心。总的来说,我觉得mriCroN是个功能强大又实用的工具,尤其适合需要频繁处理医学影像的人,免费下载这点也很良心,值得推荐给有需要的朋友。

    mriCroN官方版是国外非常有名的一款医学影像分析软件。它具有用户友好、高效实用、功能强大的特点,能够帮助用户查看多层次医学图像,支持HDR,NII和VOI格式,能够通过使用鼠标光标,移动图片并对其进行调整,以便访问和分析某个图层。

    除此之外,mriCroN还可以为医学影像的各个部分创建单张照片,并将其排成队列,让用户仅需极少的精力分析扫描、X射线和其它文件,在最短时间内找寻用户病症所在,欢迎免费下载。

    软件特色

    1、简单和平易近人的界面

    MRIcron的界面非常容易处理,这意味着您不需要很多以前的使用经验就可以使用它。主工具栏包含您可能想要使用的所有组件,如“切换十字线”,“笔工具”或“填充工具”。

    2、加载您的图像并选择查看模式

    MRIcron允许您从“文件”菜单打开需要的文件,将其载入主窗口,让您在三个不同的面板中在X,Y和Z轴上查看它。可用的视图模式是“轴向”,“冠状”,“矢状”或“多个”。

    3、方便的DICOM查看器

    综上所述,MRIcron是一种可靠且易于使用的实用程序,您可以在需要使用扫描,X射线和其他类似的医学图像时使用该程序,从而使您可以在很短的时间内完成分析。

    4、可以移动图片并对其进行调整,以便访问和分析某个图层。

    此外,MRIcron为您提供“MultiSlice”功能,可为医学影像的各个部分创建单张照片,并将它们排成队列,以帮助您更迅速地进行比较。

    软件亮点

    1、提供了多种不同的头像调整和测量功能,满足大家的各种使用需求。

    2、浏览更多的影像信息,轻松快速的了解每个患者的医疗数据。

    3、给患者们提供了更多的医学帮助,在线就可以看到更多的检测图片。

    4、在这个平台当中就能够清晰的看到更多的检测数据。

    mriCroN使用方法

    1、启动NPM并打开设计窗口(VLSM / Design ...),将出现一个电子表格,选择文件/打开并查看文件continuous.val。

    2、需要首先描述病变图并命名行为表现指标,选择查看/设计来调出描述窗口。

    3、接下来,我们需要计算统计结果,您可以通过选择MRIcron的绘图/统计菜单中的项目进行一些统计。

    4、NPM现在将计算所要求的测试,它将创建所有患者的重叠图像(例如sum.nii.gz)和统计图(BM.nii.gz用于连续数据,L.nii.gz用于二项数据)。

    5、然后可以打开生成的统计图,并将它们放在解剖扫描的顶部。

    6、接下来,MRIcron显示覆盖图。请注意屏幕底部的软件会报告临界值:p05 / p01值对应于非正确的p <0.05和p <0.01值,这些值非常宽松(这些测试会产生很多虚假警报,例如,在这里我们已经进行了16082次测试,所以p05应该会导致很多误报)。

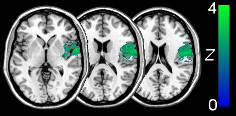
    7、考虑左侧面板中显示的原始状态图,而中间面板已经被设置为仅显示Z-分数大于2.5的体素(三个区域存活该阈值),右侧面板显示更保守的Z> 4.5的阈值 - 只有一个高峰幸存下来。

    8、最后我们重复步骤6,来加载多个叠加层,以比较不同的统计测试。

    注意事项

    1、要在开超管情况下运行 转换完成后该镜像支持双启动(IPXE和UEFI)。

    2、运行时最好是单盘情况下操作,如果有ssd的话建议主板中先禁用。

    3、转换完成后保存还原点时,建议先观察下磁盘管理中是否增加了一个500mb的分区。

    4、如需要UEFI启动,主板开启UEFI模式,程序即可自动判断,从UEFI启动,无需做其他操作。

    展开内容

    应用信息

    • 包名:
    • MD5:
    • 需要网络

    评分及评论

    4.5满分5.0分

    点击星星用来评分

    评论需审核后才能显示
    同类排行